Transwell细胞迁移/侵袭实验步骤
2025-02-24 14:28:49 0 203
细胞迁移是指细胞从一个地方移动到另一个地方的过程,它依赖于细胞骨架的重组和细胞与细胞外基质的相互作用。在迁移过程中,细胞会伸出片状伪足,与细胞外基质形成新的细胞黏附,随后细胞体收缩,尾端和周围基质黏着解离,从而实现向前运动。此外,细胞迁移还受到多种信号通路和分子机制的调控,如Cdc42等酶的活性调节。

Transwell细胞迁移/侵袭实验步骤
1、在24孔板中放置Transwell插入物,并向上下室添加适量的培养基。
2、清洗、消化并计数细胞,调整细胞悬液至适当浓度。
3、向Transwell上室中添加细胞悬液,小心处理以避免气泡形成。
4、将Transwell板放入37°C、5% CO2培养箱中孵育一定时间(如24-48小时)。
5、孵育结束后,取出Transwell插入物,清洗上室以去除未迁移的细胞。
6、固定下室迁移的细胞,并进行染色。
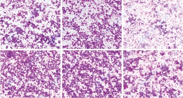
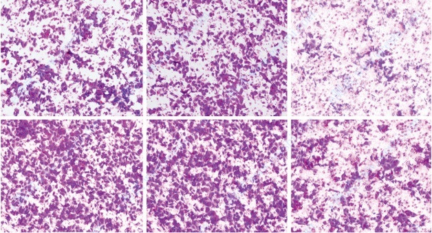
7、使用显微镜观察下室膜上的迁移细胞,并拍摄图像,计数迁移细胞数。
8、汇总迁移细胞数量,进行统计分析。
推荐文章
-
2025-01-09 0 223