项目推荐
项目介绍
样品要求
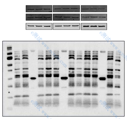
结果展示
常见问题
预约须知
1.简介:
采用聚丙烯酰胺凝胶电泳,检测物是蛋白质,将抗体作为探针,标记的二抗作为显色工具。经过PAGE分离的蛋白质样品,转移到固相载体(例如硝 酸纤维素薄膜)上,固相载体以非共价键形式吸附蛋白质,且能保持电泳分离的多肽类型及其生物学活性不变。
以固相载体上的蛋白质或多肽作为抗原,与对应的抗体起免疫反应,再与酶或同位素标记的二抗发生反应,经过底物显色或放射自显影以检测电泳分离的特异性目的基因表达的蛋白成分。该技术广泛应用于检测蛋白水平的表达。
2.服务流程:

3.送样须知:
1、新鲜样品:1、0.1g新鲜组织(至少),干冰运输;
2、细胞:细胞类型样本细胞数为1*106以上,收集细胞后PBS清洗三遍,离心去除上清,干冰运输;
3、对于心肝脾肾等组织可每50~100mg加1ml裂解液,肺100~200mg加1ml裂解液。加入裂解液前,尽量将组织剪成小块。
4、需提供待测样品的一抗及其说明书(一抗一般为10μl左右,也可由平台代购);其他所涉及的细胞、试剂盒以及生物耗材均可由本平台均有偿提供。
4.交付内容:
内参蛋白和目的蛋白曝光照片各一张;如需定量分析还提供蛋白定量结果与灰度值统计分析;提供详细实验报告一份。
5.试验周期:
接收样品后2-3周,具体试验周期请预约前与工作人员沟通确认。
e测试小贴士:
1、显影背景高
原因 | 解决方法 |
抗体浓度高 | 优化或降低一抗/二抗浓度 |
封闭不充分 | 延长封闭时间,提供封闭液浓度,更换合适封闭液 |
洗膜不充分 | 延长洗膜时间 |
抗体与其他蛋白有交叉反应 | 更换封闭液,降低二抗浓度,检测二抗与膜的交叉反应 |
2、弥散性条带
原因 | 解决方法 |
抗体浓度高 | 降低抗体浓度 |
蛋白质上样量太多 | 降低蛋白上样量 |
迁移过快、电泳液温度过高 | 降低电泳速度,低温电泳 |
展开全部收起
项目介绍
1.简介:
采用聚丙烯酰胺凝胶电泳,检测物是蛋白质,将抗体作为探针,标记的二抗作为显色工具。经过PAGE分离的蛋白质样品,转移到固相载体(例如硝 酸纤维素薄膜)上,固相载体以非共价键形式吸附蛋白质,且能保持电泳分离的多肽类型及其生物学活性不变。
以固相载体上的蛋白质或多肽作为抗原,与对应的抗体起免疫反应,再与酶或同位素标记的二抗发生反应,经过底物显色或放射自显影以检测电泳分离的特异性目的基因表达的蛋白成分。该技术广泛应用于检测蛋白水平的表达。
2.服务流程:

样品要求
1、新鲜样品:1、0.1g新鲜组织(至少),干冰运输;
2、细胞:细胞类型样本细胞数为1*106以上),收集细胞后PBS清洗三遍,离心去除上清,干冰运输;
3、若客户提供已提取的蛋白液,蛋白提取方法请参考:心肝脾肾等组织可每50~100mg加1ml裂解液,肺100~200mg加1ml裂解液。加入裂解液前,尽量将组织剪成小块。
4、需提供待测样品的一抗及其说明书(一抗一般为10μl左右,也可由平台代购);其他所涉及的细胞、试剂盒以及生物耗材均可由本平台均有偿提供。
结果展示

常见问题
Western blot为什么背景模糊?
原因 | 解决方法 |
抗体浓度高 | 优化或降低一抗/二抗浓度 |
封闭不充分 | 延长封闭时间,提供封闭液浓度,更换合适封闭液 |
洗膜不充分 | 延长洗膜时间 |
抗体与其他蛋白有交叉反应 | 更换封闭液,降低二抗浓度,检测二抗与膜的交叉反应 |
样品要如何准备?
1、新鲜样品:1、0.1g新鲜组织(至少)2、加入蛋白裂解液,干冰运输;
2、细胞:细胞类型样本细胞数为1*106以上),干冰运输;
3、对于心肝脾肾等组织可每50~100mg加1ml裂解液,肺100~200mg加1ml裂解液。加入裂解液前,尽量将组织剪成小块。
4、需提供待测样品的一抗及其说明书(一抗一般为10μl左右,也可由平台代购);其他所涉及的细胞、试剂盒以及生物耗材均可由本平台均有偿提供。
为什么条带会出现弥散?
原因 | 解决方法 |
抗体浓度高 | 降低抗体浓度 |
蛋白质上样量太多 | 降低蛋白上样量 |
迁移过快、电泳液温度过高 | 降低电泳速度,低温电泳 |
400-630-1090