1、HE染色项目
(1)需要告知包埋要求(横切/纵切/切最大面);拍摄要求:倍数、视野、张数等信息
(2)如提供固定好的组织/冰冻组织,则选择包埋+切片+染色类型(如常规染色/TUNEL染色/免疫组化/免疫荧光等);
2、其他染色项目详情请联系工作人员。
HE染色/特殊染色
HE染色/特殊染色
满意度: 98%
预约次数:
2547次
服务周期:
平均5.0-14.0个工作日
项目推荐
生物组织切片
项目介绍
样品要求
结果展示
常见问题
预约须知
1、HE染色项目
(1)需要告知包埋要求(横切/纵切/切最大面);拍摄要求:倍数、视野、张数等信息
(2)如提供固定好的组织/冰冻组织,则选择包埋+切片+染色类型(如常规染色/TUNEL染色/免疫组化/免疫荧光等);
2、其他染色项目详情请联系工作人员。
展开全部收起
项目介绍
病理形态学检查方法指:先用肉眼观察大体病理标本的病变,然后切取一定大小的病变组织,用病理组织学方法制成病理切片,用显微镜进一步检查病变。一般有HE染色、免疫组化、免疫荧光、Masson染色等。
1、HE染色
HE染色即苏木精-伊红染色法,石蜡切片技术里常用的染色法之一。苏木精染液为碱性,主要使细胞核内的染色质与胞质内的核糖体着紫蓝色;伊红为酸性染料,主要使细胞质和细胞外基质中的成分着红色。
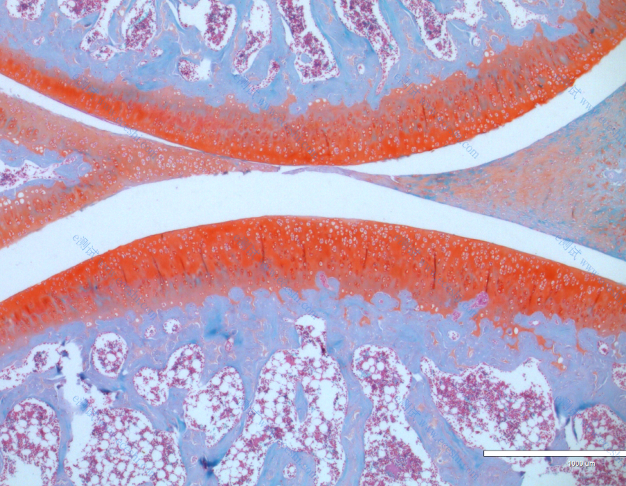
2、Masson染色
masson染色是指用两种或三种阴离子染料混合,胶原纤维呈蓝色,肌纤维呈红色。用来显示组织中纤维以及炎性因子的染色方法之一。
样品要求
HE染色送样要求:
包埋:石蜡包埋、OTC包埋。
标本要求:已固定在4%多聚甲醛中的动物组织;新鲜冻存组织;或已固定在FAA中的植物组织。
送样要求:
a. 动物组织:处死动物后立即取材,生理盐水冲洗表面,4%的多聚甲醛固定,一般组织固定48h左右进行包埋最好,大小不超过1cm*1cm*0.5cm,装组织的管子一定要比组织大,固定液是样品体积的5倍以上,以保证充分固定,封口膜封好避免运输过程中固定液洒出。新鲜冻存组织需干冰运输。
b. 植物组织:新鲜取材后固定于FAA固定液中,大小不超过1cm*1cm*0.5cm,如果组织悬浮于固定液上,可以抽真空使其下沉。
注:常温或少量冰袋运输。
切片:石蜡切片、冰冻切片。
标本要求:已包埋的动物/植物组织 。
(2)送样要求:
石蜡包埋的组织:冰袋运输。
OTC包埋的组织:干冰运输。
染色: 脱蜡至水、苏木素染色、伊红染色、脱水封片。
标本要求:切片。
送样要求:
石蜡切片:石蜡切片码齐装在塑料切片盒中,冰袋运输。
冰冻切片:冰冻切片码齐装在塑料切片盒中,干冰运输。
拍照:光学拍照(白光)、数字扫描(白光)
标本要求:已染色的切片。
送样要求:已染色的切片,常温或少量冰袋运输。
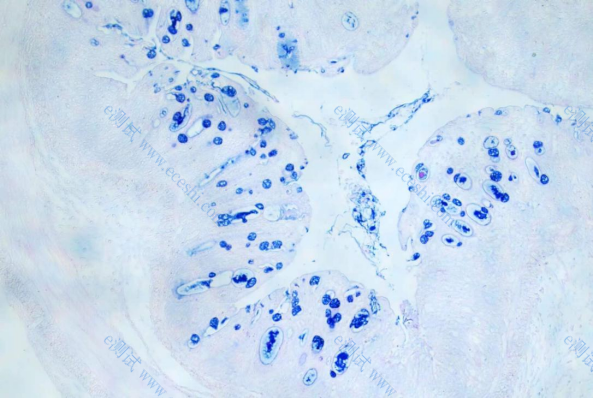
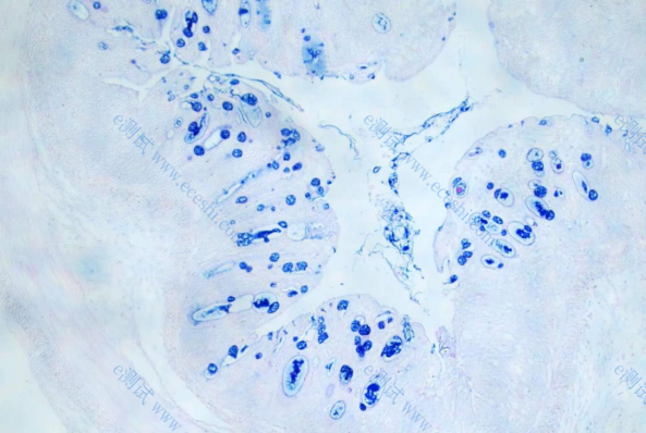
结果展示
1、HE染色

2、Masson染色

3、甲苯安蓝染色

4、番红固绿染色

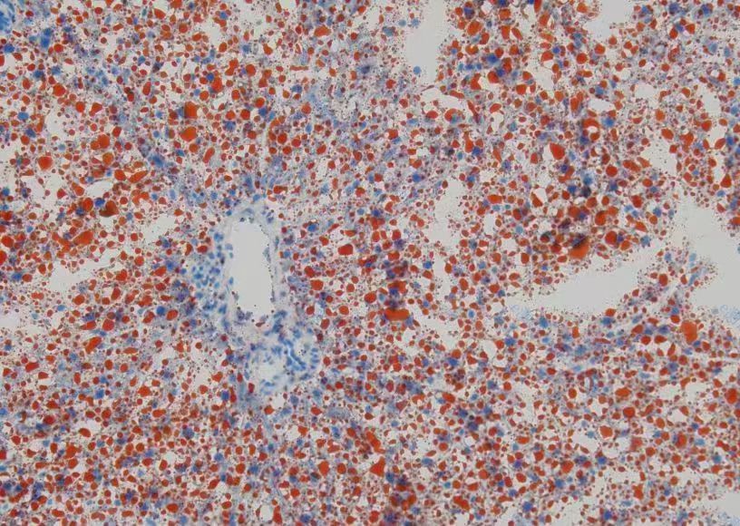
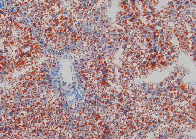
5、油红 o 染色

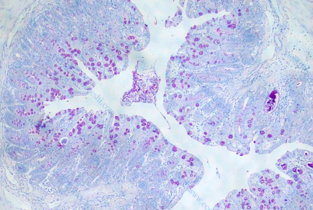
6、pas 染色

7、AB-PAS染色

8、天狼猩红

常见问题
细胞核染色暗淡,即苏木精染色太淡
原因:(1)切片在苏木精染色液停留时间太短;(2)苏木精染色液过度氧化,失去染色能力,不能再继续使用; (3)分化步骤处理时间过长。如果是骨组织细胞核暗淡,则多数是由于脱钙过度造成。
对策:切片重新染色。如果组织在固定液固定时间过长,细胞核染色能力将减弱,须增加其在苏木精染色液的时间,或用一些方法增加组织的嗜碱性,以改善细胞核的着色。
细胞核呈红、棕色改变
原因:苏木精染色液过度氧化和切片在苏木精染液染色后返蓝不足。
对策:首先,每次染色之前检查苏木精染色液的染色能力,发现氧化过度应及时更换。其次,可用流水、温水或弱碱性溶液如稀氨水、0. 2%碳酸氢钠等,在苏木精染色后,给切片以足够的蓝化时间。
400-630-1090
建议/投诉
我们承诺:工作日内24小时受理,48小时出具解决方案。您也可直接联系:400-630-1090
请完成安全验证