项目推荐
电感耦合等离子体光谱/质谱(ICP-OES/MS)
项目介绍
样品要求
结果展示
预约须知
送检样本经多聚甲醛固定,固定状态良好后,严格按照本单位病理实验检查sop程序进行修剪,脱水、包埋、切片、染色、封片最后镜检合格的样片。
展开全部收起
项目介绍
在显微镜下观察切片或者浏览数字切片,在不同倍数下详细观察组织切片整体情况,对切片中的基本病理改变如充血、水肿、变性、增生、纤维化、钙化、化生、坏死炎症变化等情况进行文字描述, 对每张玻片典型部位成像并在word文档中用箭头标识。
样品要求
送检样本经多聚甲醛固定,固定状态良好后,严格按照本单位病理实验检查sop程序进行修剪,脱水、包埋、切片、染色、封片最后镜检合格的样片。
需要提供
1.动物组织:处死动物后立即取材,生理盐水冲洗表面,4%的多聚甲醛或者10%的福尔马林固定,一般组织固定48h左右进行包埋最好(尽量不要固定过久),大小不超过1cm*1cm*0.5cm,装组织的管子一定要比组织大(避免挤压影响组织形态),固定液是样品体积的5倍以上,以保证充分固定,封口膜封好避免运输过程中固定液洒出。
2.植物组织:新鲜取材后固定于FAA固定液中,大小不超过1cm*1cm*0.5cm,如果组织悬浮于固定液上,可以抽真空使其下沉。
结果展示
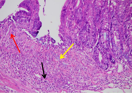
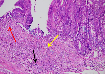
肠组织整体结构异常,组织可见较多粘膜上皮细胞溃疡变性坏死,如图黄色箭头所示,组织坏死处可见少量纤维结缔组织增生,如图红色箭头所示,组织粘膜层杯状细胞数量明显减少,组织可见大量炎症细胞浸润,炎症细胞累积组织全层,如图黑色箭头所示:

400-630-1090