国家高新技术企业 CNAS/CMA ISO认证 专精特新企业 新型研发机构 博士后创新实践基地

预约须知

暂不预约,了解常见问题 立即预约

  • 注册即送

    200元首样免单券

  • 首单有礼

    最高600元

  • 邀友得返利

    10%返利

注册即送

200元首样免单券

首单有礼

最高600元

邀友得返利

10%返利

首页 测试百科 生物干货|常规病理技术-免疫组化

生物干货|常规病理技术-免疫组化

免疫组化 IHC 组织芯片 TMA



一、IHC简介

免疫组化,全称为免疫组织化学技术( immunohistochemistry,IHC),是应用抗原与抗体特异性结合的原理,通过化学反应使标记抗体的显色剂(荧光素、酶、金属离子、同位素)显色来确定组织细胞内抗原(多肽和蛋白质),对其进行定位、定性及定量的研究免疫组化技术在在处理复杂病例、进行诊断和鉴别诊断方面具有显著的意义。其应用广泛,在科研领域中,免疫组化技术可用于确定组织形态,还可用于检测靶标在细胞和亚细胞水平上的定位,以及观察蛋白质表达的丰度等等。

组织芯片技术又称组织微阵列(tissue microarray,TMA),是近年来发展起来的以形态学为基础的分子生物学新技术,是一种高通量、多样本的分析工具。它是将数十个甚至上千个微小组织片整齐排列在一张载玻片上而制成的高通量组织切片,形成微阵列,将标记特定基因的核酸探针或抗体探针与之杂交,以检测该基因在不同组织中的表达情况。因此组织芯片是传统核酸原位杂交或免疫组化实验的集成免疫组化一次检测一个基因在一种组织中的表达,而组织芯片一次检测一个基因在多种组织中的表达。


二、IHC原理

根据抗原抗体反应和化学显色原理,组织切片或细胞标本中的抗原先和一抗结合,再利用一抗与标记生物素、荧光素等的二抗进行反应,前者再用标记辣根过氧化物酶(HRP)或碱性磷酸酶(ALP或AKP)等的抗生物素(如链霉亲和素等)结合,最后通过呈色反应或荧光来显示细胞或组织中化学成分,在光学显微镜或荧光显微镜下可清晰看见细胞内发生的抗原抗体反应产物,从而能够在细胞爬片或组织切片上原位确定某些化学成分的分布和含量。


三、IHC流程

1.石蜡切片:

1)脱蜡与水化:将石蜡切片放置于60°烤箱烤片30-60min,这一步是为了使蜡片水分蒸发和石蜡融化。依次将其放入二甲苯I、II、III各10min,乙醇梯度(100%、95%、80%、70%)各2min,水洗5min(不要直接对着切片冲洗)。PBS洗3次,3 min/次。

2)细胞通透与封闭:用预热的封闭通透液(40ml PBS+120ul TritonX-100+400ul 30%H2O2)浸润切片30min(RT 避光),降低内源性过氧化物酶的活性。PBS洗3次,3 min/次。

3)抗原修复:由于制作石蜡切片时,甲醛固定使得蛋白之间交联及醛基的封闭作用从而失去抗原性,这一步就是让胞内的抗原修复。常用微波修复,pH 6.0的0.01M柠檬酸钠缓冲液浸泡切片,在微波炉里高火4min至沸腾后,取出自然冷却至室温,重复2次,每次补足液体以免干片。(酶修复法也是可以的)。PBS洗3次,3 min/次。

4)血清封闭:用与二抗同一来源的血清封闭一些非特异性结合位点。用油性笔围绕组织画圈,并对圈内的组织滴加稀释好的血清,37℃温箱中30min,用滤纸吸去多余的血清。

5)孵育一抗:对圈内的组织滴加稀释好的一抗,4℃过夜或者37℃ 1-2h。PBS洗3次,3 min/次。

6)孵育二抗:对圈内的组织滴加稀释好的二抗20ul,37℃ 1-2h,PBS洗3次,3 min/次。

7)切片显色:用DAB显色10min,显色液最好是现用现配,此时要通过显微镜观察染色是否明显,10min内即可用蒸馏水终止显色。

8)复染及封片:为了形成细胞轮廓,更好的定位目标蛋白,可用苏木素染色30s,水洗,盐酸酒精分化2s,流水浸入15min。脱水时,乙醇梯度(由低至高:50%、70%、95%、100%)各2min。二甲苯5min使切片透明化,最后加入中性树胶封片(一般封片后最好立即拍照,若不能及时拍照,可用指甲油封固并保持好避光和湿度)。

2. 冰冻切片:
1)固定冷冻切片组织:立即将粘附冷冻切片组织载玻片放入固定液中固定30s-1min。
2)固定后清洗:切片固定后,将载玻片取出,放入自来水中轻轻晃动,完全除去载玻片上的固定液及OCT包埋剂。
3)血清封闭:去除组织残留固定液及包埋剂后,用免疫组化油笔圈定待测组织区域,并在圈定区域内滴加适量封闭剂孵育 20 s。然后用TBS清洗液洗涤玻片 30 s。
4)孵育一抗:去除载玻片上多余的清洗液,对圈内的组织滴加稀释好的一抗,4℃过夜或者37℃ 1-2h。PBS洗3次,3 min/次。
5)孵育二抗:对圈内的组织滴加稀释好的二抗20ul,37℃ 1-2h,PBS洗3次,3 min/次。
6)滴加DAB:去除载玻片上多余的清洗液,在油笔圈定区域内滴加适量DAB显色液,并孵育 90 s左右。然后用纯水冲洗 10 s。

7)复染及封片:滴加适量苏木素复染液,孵育 10 s左右,然后用纯水冲洗 10 s。最后进行脱水封片。


四、样品要求

1.包埋:石蜡包埋、OTC包埋。

(1)标本要求:已固定在4%多聚甲醛中的动物组织,或已固定在FAA中的植物组织。

(2)送样要求:

a. 动物组织:处死动物后立即取材,生理盐水冲洗表面,4%的多聚甲醛固定,一般组织固定48h左右进行包埋最好,大小不超过1cm*1cm*0.5cm,装组织的管子一定要比组织大,固定液是样品体积的5倍以上,以保证充分固定,封口膜封好避免运输过程中固定液洒出。

注:常温或少量冰袋运输。

2.切片:石蜡切片、冰冻切片。

(1)标本要求:已包埋的动物。

(2)送样要求:

a. 石蜡包埋的组织:冰袋运输。

b. OTC包埋的组织:干冰运输。

3.染色: 石蜡切片、冰冻切片。

(1)标本要求:切片。

(2)送样要求:

a. 石蜡切片:石蜡切片码齐装在塑料切片盒中,冰袋运输。
b. 冰冻切片:冰冻切片码齐装在塑料切片盒中,干冰运输。

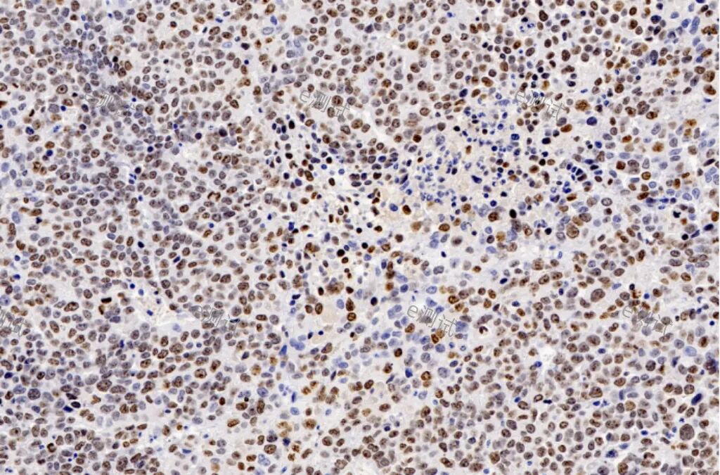
五、IHC结果展示


六、IHC临床应用

1 、恶性肿瘤的诊断与鉴别诊断:比如肺腺癌与肺鳞癌的鉴别。TTF-1/P63 组合基本可以满足对肺鳞癌和肺腺癌的鉴别。

2 、确定原发部位:确定转移性恶性肿瘤的原发部位。比如确定肺原发性腺癌与转移性腺癌一般而言,转移到肺的腺癌以乳腺癌、胰腺癌、前列腺癌、子宫颈腺癌、子宫内膜癌、结肠腺癌及间皮瘤多见,通常转移瘤与原发瘤具有共同的抗原表达。

3、 病理分型对某类肿瘤进行进一步的病理分型。比如乳腺癌病理分型,通过ER、PR、HER-2、Ki-67表达情况来细分。

4 、软组织肿瘤分类软组织肿瘤的治疗一般需根据正确的组织学分类,因其种类多、组织形态相像,有时难以区分其组织来源,应用多种标志进行免疫组化研究对软组织肿瘤的诊断是不可缺少的。

5 、微小转移灶:发现微小转移灶,有助于临床治疗方案的确定,包括手术范围的确定。比如应用上皮细胞相关抗(CK/EMA/CEA等)检测淋巴结、骨髓内的微小转移性癌细胞。

6、为临床提供治疗方案的选择:比如ALK 在非小细胞肺癌中的应用,指导靶向药物的使用。

七、常见问题

1、免疫组化产生组织切片非特异性染色的原因

a.抗体孵育时间过长、抗体浓度高易增加背景着色。这可通过缩短一抗/二抗孵育时间、稀释抗体来控制。这是最重要的一条;
b.一抗用多克隆抗体易出现非特异性着色,建议试用单克隆抗体看看;
c.内源性过氧化物酶和生物素在肝脏、肾脏等组织含量很高(含血细胞多的组织),需要通过延长灭活时间和增加灭活剂浓度来降低背景染色;
d.非特异性组分与抗体结合,这需要通过延长二抗来源的动物免疫血清封闭时间和适当增加浓度来加强封闭效果;
e.DAB孵育时间过长或浓度过高;
f.PBS冲洗不充分,残留抗体结果增强着色,在一抗、二抗或SP孵育之后的浸洗尤为重要;

g.标本染色过长中经常出现干片,这容易增强非特异性着色。

2、免疫组化背景过深的原因

可能是一抗浓度高;需要调整DAB孵育时间;考虑血清封闭的时间是否过短;适当增加抗体孵育后的浸洗次数和延长浸洗时间等。

3、免疫组织化学技术的抗体选择?

免疫组化实验中常用的抗体为单克隆抗体和多克隆抗体;
单克隆抗体是一个B淋巴细胞克隆分泌的抗体,应用细胞融合杂交瘤技术免疫动物制备。

多克隆抗体是将纯化后的抗原直接免疫动物后,从动物血中所获得的免疫血清,是多个B淋巴细胞克隆所产生的抗体混合物。

4、石蜡切片和冰冻切片的比较?

冰冻切片的优点:能够较好的保存组织的抗原免疫活性,做免疫组化时不需抗原修复这一步。缺点是细胞内易形成冰晶而破坏细胞结构,可能会使抗原弥散;切片厚度较石蜡的厚,做的片子没石蜡的漂亮。

石蜡切片的优点:可以保持组织细胞的形态结构,且容易存放在室温。

5、免疫组化结果如何分析?

阳性着色细胞计数法:在镜下,随机选择不重叠的 几个视野,人工或机器计数阳性着色细胞。

灰密度分析法:通过在不同组别和不同动物组织切片上选择相同区域、相同条件下用 image j 进行灰密度分析,然后进行统计分析。

评分法:通过在光学显微镜下对组织切片分别按染色程度(0-3 分为阴性着色、淡黄色、浅褐色、深褐色)、阳性范围进行评分(1-4 分为 0-25%、26-50%、51-75%、76-100%),最终可以分数相加,再进行比较。

本文为e测试原创,未经允许,禁止转载!



建议/投诉

我们承诺:工作日内24小时受理,48小时出具解决方案。您也可直接联系:400-630-1090

*反馈类型
服务态度 测试周期 数据质量 开票报账 费用问题 功能使用 样品相关 其他
*反馈描述
*联系方式
附件说明
+

请完成安全验证

为了给您提供更专业的服务

请选择类型

学生

教职工

企业

医院

研究所

我选好了 先不填,跳过